Dagboek dracht
Gwenny x Jasper 2015
 
 
13 October 2015
Gwen is 7 weeks pregnant. She goes with us on a walk although she stays a bit closer to us. She is very very hungry. We give her food 3 times a day. Her Belly is now 74 cm. 
Gwen 7 weeks pregnant   
 
7 October 2015
Update of our pregnant Gwenny. She is 6 weeks pregnant. She is doing great. She still goes along with all the walks, even the if it takes 1,5 hours. She is getting a big belly and we think she will have some heavy weeks in front of her.

Her belly is now 71 cm, weight 20,4 kg.
                                                                   Gwen 6 weeks pregnant                                                 
 
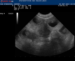
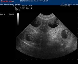
22 September 2015
And then it is time for the ultrasound. We have great news. She is very very very pregnant! We saw a lot of puppies!!

She already showed some signs of pregnancy but still it is always exciting to see if the ultrasound confirms our feeling.

Puppies are expected due 17 October 2015 . Her weight 17,8 kg.

Below you van see two pictures of the ultrasound:
 
 

25 August 2015
This morning Gwenny has been mated to Jasper

Hopefully the ultrasound will show some puppies in 4 weeks!

 
   
   

23 August 2015
Progesterone 5.6 ng/ml

 
   

21 August 2015
First time  to the vet.
Progesterone 2.56 ng/ml.

Her belly is  60 cm. weight 16.8 kg

 
   

August 2015
Gwenny is loops geworden!
 

 
<-- terug